Zabieg Zęby w jeden dzień w Koszalinie zyskuje coraz większą popularność wśród pacjentów, którzy pragną szybko i efektywnie poprawić swój uśmiech. Jedną z głównych zalet tej metody jest znaczna oszczędność czasu. W tradycyjnych procedurach stomatologicznych pacjenci często muszą czekać tygodnie lub nawet miesiące na zakończenie leczenia, podczas gdy Zęby w jeden dzień pozwalają na natychmiastowe uzyskanie efektów. Dzięki nowoczesnym technologiom, takim jak cyfrowe skanowanie i drukowanie 3D, lekarze są w stanie precyzyjnie zaplanować i wykonać zabieg w krótkim czasie. Kolejnym atutem jest minimalna inwazyjność procedury, co oznacza mniejsze ryzyko powikłań oraz szybszy czas rekonwalescencji. Pacjenci mogą wrócić do codziennych aktywności niemal od razu po zabiegu, co jest szczególnie istotne dla osób prowadzących intensywny tryb życia. Dodatkowo, Zęby w jeden dzień oferują estetyczne rezultaty, które są porównywalne z tradycyjnymi metodami protetycznymi.
Jak wygląda proces Zębów w jeden dzień w Koszalinie
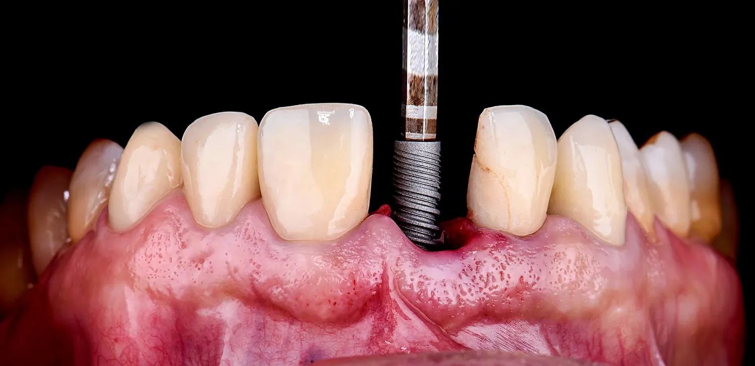
Proces Zębów w jeden dzień w Koszalinie jest starannie zaplanowany i składa się z kilku kluczowych etapów, które zapewniają wysoką jakość usług oraz komfort pacjenta. Pierwszym krokiem jest konsultacja ze specjalistą, który ocenia stan zdrowia jamy ustnej oraz określa indywidualne potrzeby pacjenta. Na tym etapie lekarz wykonuje szczegółowe badania oraz zdjęcia rentgenowskie, aby dokładnie zrozumieć sytuację. Następnie następuje cyfrowe skanowanie zębów, które pozwala na stworzenie precyzyjnego modelu 3D jamy ustnej. To innowacyjne podejście umożliwia lekarzowi zaplanowanie zabiegu z najwyższą dokładnością. Po przygotowaniu modelu przystępuje się do wykonania implantów lub koron, które są produkowane na miejscu przy użyciu technologii druku 3D. W ciągu jednego dnia pacjent otrzymuje nowe zęby, które są natychmiast montowane.
Czy Zęby w jeden dzień są odpowiednie dla każdego

Zabieg Zęby w jeden dzień może być atrakcyjną opcją dla wielu osób pragnących poprawić swój uśmiech, jednak nie każdy pacjent będzie idealnym kandydatem do tego rodzaju leczenia. Kluczowym czynnikiem jest ogólny stan zdrowia jamy ustnej oraz obecność wystarczającej ilości kości do osadzenia implantów. Osoby z poważnymi problemami stomatologicznymi, takimi jak zaawansowana choroba przyzębia czy brak kości, mogą wymagać wcześniejszego leczenia przed przystąpieniem do zabiegu. Ponadto wiek pacjenta oraz jego oczekiwania dotyczące efektów również mają znaczenie. Specjaliści zalecają konsultację przed podjęciem decyzji o zabiegu, aby omówić wszelkie możliwe opcje oraz ewentualne ograniczenia.
Jakie są koszty związane z Zębami w jeden dzień w Koszalinie
Koszty związane z zabiegiem Zęby w jeden dzień w Koszalinie mogą się znacznie różnić w zależności od wielu czynników, takich jak zakres leczenia oraz wybrane materiały protetyczne. Warto zaznaczyć, że choć początkowa cena może wydawać się wyższa niż tradycyjne metody stomatologiczne, to jednak długoterminowe korzyści mogą przeważać nad kosztami początkowymi. W ramach zabiegu pacjenci mogą liczyć na kompleksową obsługę obejmującą konsultacje, diagnostykę oraz sam proces wykonania implantów lub koron. Często kliniki oferują różne formy finansowania lub możliwość rozłożenia płatności na raty, co może ułatwić dostęp do tego typu usług szerszej grupie pacjentów. Ważne jest również porównanie ofert różnych gabinetów stomatologicznych oraz zwrócenie uwagi na opinie innych pacjentów dotyczące jakości usług i efektów leczenia.
Jakie są najczęstsze pytania dotyczące Zębów w jeden dzień w Koszalinie
W miarę rosnącej popularności zabiegu Zęby w jeden dzień w Koszalinie, wiele osób ma pytania dotyczące tego innowacyjnego podejścia do stomatologii. Jednym z najczęściej zadawanych pytań jest to, jak długo trwa sam zabieg. W zależności od skomplikowania przypadku, cały proces może zająć od kilku do kilkunastu godzin, co oznacza, że pacjenci mogą opuścić klinikę z nowymi zębami jeszcze tego samego dnia. Kolejnym istotnym zagadnieniem jest kwestia bólu i dyskomfortu podczas zabiegu. Dzięki zastosowaniu nowoczesnych technik znieczulenia oraz minimalnej inwazyjności procedury, większość pacjentów zgłasza jedynie niewielki dyskomfort. Inne pytanie dotyczy trwałości implantów i koron wykonanych w ramach tej metody. Przy odpowiedniej pielęgnacji oraz regularnych wizytach kontrolnych, nowe zęby mogą służyć przez wiele lat, a nawet dekad. Pacjenci często zastanawiają się również nad tym, czy istnieją jakieś ograniczenia wiekowe dla tego zabiegu. W zasadzie nie ma górnej granicy wiekowej, jednak młodsze osoby powinny mieć zakończony proces wzrostu kości szczękowej.
Jak przygotować się do zabiegu Zęby w jeden dzień w Koszalinie
Przygotowanie do zabiegu Zęby w jeden dzień w Koszalinie jest kluczowym elementem zapewniającym jego sukces oraz komfort pacjenta. Przed przystąpieniem do procedury warto umówić się na szczegółową konsultację ze specjalistą, który oceni stan zdrowia jamy ustnej oraz omówi wszystkie aspekty związane z planowanym leczeniem. Ważne jest również, aby przed zabiegiem przeprowadzić dokładną higienizację jamy ustnej, co pomoże zminimalizować ryzyko infekcji pooperacyjnych. Pacjenci powinni także poinformować lekarza o wszelkich przyjmowanych lekach oraz chorobach przewlekłych, które mogą wpłynąć na przebieg zabiegu. Dodatkowo zaleca się unikanie alkoholu oraz palenia papierosów na kilka dni przed planowaną procedurą, ponieważ te czynniki mogą negatywnie wpłynąć na proces gojenia. W dniu zabiegu warto zadbać o wygodny strój oraz zaplanować transport do i z kliniki, ponieważ po zabiegu pacjent może czuć się osłabiony lub otępiały od środków znieczulających.
Jak dbać o nowe zęby po zabiegu Zęby w jeden dzień w Koszalinie
Prawidłowa pielęgnacja nowych zębów po zabiegu Zęby w jeden dzień w Koszalinie jest kluczowa dla ich długowieczności oraz zdrowia jamy ustnej. Po zakończeniu procedury lekarz zazwyczaj udziela szczegółowych instrukcji dotyczących higieny oraz diety na najbliższe dni. W pierwszych dniach po zabiegu zaleca się unikanie twardych i gorących potraw, które mogą podrażnić świeżo wszczepione implanty lub korony. Zamiast tego warto postawić na miękką dietę bogatą w składniki odżywcze, która wspomoże proces gojenia. Regularne szczotkowanie zębów jest niezwykle ważne; należy używać miękkiej szczoteczki oraz pasty do zębów przeznaczonej dla osób po zabiegach stomatologicznych. Rekomendowane jest także stosowanie płynów do płukania jamy ustnej bezalkoholowych, które pomogą utrzymać świeżość i czystość jamy ustnej. Niezwykle istotne są wizyty kontrolne u stomatologa, które pozwalają na monitorowanie stanu zdrowia nowych zębów oraz ewentualne wykrycie problemów na wczesnym etapie.
Jak wybrać odpowiednią klinikę stomatologiczną dla Zębów w jeden dzień w Koszalinie
Wybór odpowiedniej kliniki stomatologicznej dla zabiegu Zęby w jeden dzień w Koszalinie jest kluczowy dla uzyskania satysfakcjonujących rezultatów i komfortu pacjenta. Przed podjęciem decyzji warto przeprowadzić dokładne badania dostępnych opcji oraz porównać oferty różnych gabinetów. Istotnym czynnikiem są opinie innych pacjentów; warto poszukać recenzji online lub zapytać znajomych o ich doświadczenia związane z konkretnymi klinikami. Kolejnym aspektem jest kwalifikacje personelu medycznego; dobrze jest upewnić się, że lekarze posiadają odpowiednie certyfikaty oraz doświadczenie w przeprowadzaniu tego typu zabiegów. Również wyposażenie kliniki ma znaczenie; nowoczesny sprzęt i technologie mogą znacząco wpłynąć na jakość usług oraz komfort pacjentów. Należy również zwrócić uwagę na atmosferę panującą w klinice; przyjazna i profesjonalna obsługa może znacznie zmniejszyć stres związany z wizytą u dentysty.
Jak wygląda rehabilitacja po zabiegu Zęby w jeden dzień w Koszalinie
Rehabilitacja po zabiegu Zęby w jeden dzień w Koszalinie jest kluczowym elementem procesu gojenia i adaptacji do nowych zębów. Po zakończeniu procedury pacjent powinien spodziewać się pewnego dyskomfortu lub bólu, który można złagodzić za pomocą przepisanych przez lekarza środków przeciwbólowych. W pierwszych dniach po zabiegu ważne jest przestrzeganie zaleceń dotyczących diety; należy unikać twardych pokarmów oraz gorących napojów, które mogą podrażnić świeżo wszczepione implanty lub korony. Ponadto pacjent powinien dbać o higienę jamy ustnej zgodnie z zaleceniami stomatologa; regularne szczotkowanie i stosowanie płukanek bezalkoholowych pomoże utrzymać czystość i zapobiec infekcjom. Wizyty kontrolne u stomatologa są niezwykle istotne; pozwalają one monitorować postęp gojenia oraz ewentualnie reagować na pojawiające się problemy.
Czy Zęby w jeden dzień to rozwiązanie dla osób starszych
Zabieg Zęby w jeden dzień w Koszalinie może być atrakcyjną opcją dla osób starszych pragnących poprawić jakość swojego życia poprzez odzyskanie pięknego uśmiechu i funkcjonalności jamy ustnej. Osoby starsze często borykają się z problemami związanymi ze zdrowiem jamy ustnej, takimi jak utrata zębów czy choroby przyzębia, co wpływa na ich zdolność do jedzenia i mówienia. Zabieg ten oferuje szybkie rozwiązanie tych problemów dzięki zastosowaniu nowoczesnych technologii implantologicznych oraz protetycznych. Ważne jest jednak, aby przed przystąpieniem do procedury przeprowadzić dokładną ocenę stanu zdrowia pacjenta; osoby starsze mogą mieć różnorodne schorzenia przewlekłe lub przyjmować leki wpływające na proces gojenia i regeneracji kości. Konsultacja ze specjalistą pozwala dostosować plan leczenia do indywidualnych potrzeb pacjenta oraz zapewnić mu bezpieczeństwo podczas całego procesu leczenia.




