„`html
Implanty stomatologiczne to nowoczesne rozwiązanie problemu utraty zębów, które cieszy się rosnącym zainteresowaniem. Choć ich celem jest odtworzenie funkcji i estetyki naturalnych zębów, wiele osób wciąż zastanawia się, jak dokładnie wyglądają te niewielkie, ale niezwykle ważne konstrukcje. Pytanie „jak wyglądają implanty?” pojawia się naturalnie u każdego, kto rozważa taką terapię. Zrozumienie ich budowy, materiałów i wyglądu jest kluczowe dla świadomej decyzji o leczeniu.
Wbrew pozorom, implant to nie tylko „śrubka” w kości. Jest to złożony system, który po pełnym zintegrowaniu z tkankami kostnymi staje się stabilnym fundamentem dla przyszłej korony protetycznej. W początkowej fazie leczenia, kiedy implant jest jeszcze w trakcie gojenia, nie jest on widoczny w jamie ustnej. Dopiero po zakończeniu procesu osteointegracji i przykręceniu łącznika oraz korony, implant staje się częścią uśmiechu pacjenta, imitując wygląd naturalnego zęba.
Estetyka odgrywa kluczową rolę w leczeniu implantologicznym. Współczesne materiały i techniki protetyczne pozwalają na uzyskanie rezultatów, które są praktycznie nieodróżnialne od naturalnych zębów. Dlatego też, gdy mówimy o wyglądzie implantu, mamy na myśli przede wszystkim jego finalną postać jako widocznej części uzupełnienia protetycznego, a nie samą śrubę wszczepioną w kość. Zrozumienie tego rozróżnienia jest fundamentalne dla prawidłowego postrzegania tej metody.
Artykuł ten ma na celu dogłębne przybliżenie tematu, odpowiadając na wszystkie wątpliwości dotyczące wyglądu implantów. Omówimy ich budowę, materiały, proces integracji z organizmem oraz finalny efekt estetyczny. Dzięki temu uzyskacie Państwo pełny obraz tego, czym są implanty i jak mogą odmienić Wasz uśmiech i jakość życia.
Kluczowe elementy składowe implantu stomatologicznego i ich wygląd
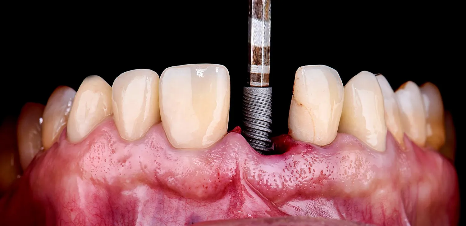
Każdy implant stomatologiczny składa się z kilku podstawowych części, które wspólnie tworzą trwałe i funkcjonalne uzupełnienie protetyczne. Zrozumienie ich budowy pozwala lepiej pojąć, jak wyglądają implanty w swojej pierwotnej formie, zanim zostaną ukryte pod tkankami. Pierwszym i najważniejszym elementem jest sam implant, czyli wszczep kostny. Najczęściej wykonany jest z czystego tytanu lub jego stopów, materiałów biokompatybilnych, które doskonale integrują się z tkanką kostną, procesem zwanym osteointegracją.
Sam implant ma zazwyczaj kształt śruby o różnej długości i średnicy, dopasowywanej indywidualnie do warunków anatomicznych pacjenta i planowanego uzupełnienia. Jego powierzchnia jest często modyfikowana poprzez piaskowanie, trawienie kwasem lub powlekanie specjalnymi materiałami, aby zwiększyć jej przyczepność i przyspieszyć proces gojenia. Widoczna część implantu, ta która wystaje z kości po zagojeniu, ma specjalne gwintowanie, które umożliwia połączenie z kolejnymi elementami.
Kolejnym kluczowym elementem jest śruba zamykająca lub tymczasowy łącznik, który jest przykręcany do implantu po jego wszczepieniu. Jeśli zabieg odbywa się w jednym etapie, implant jest całkowicie zakrywany przez błonę śluzową, a do jego gojenia służy śruba zamykająca. W przypadku implantacji dwuetapowej, implant jest przykręcany do kości, a następnie zakrywany dziąsłem, z użyciem śruby zamykającej. Po okresie gojenia dziąsło jest nacinane, a do implantu przykręcany jest łącznik.
Łącznik, nazywany również abutmentem, to element protetyczny łączący implant z koroną protetyczną. Może być wykonany z tytanu, cyrkonu lub innych materiałów biokompatybilnych. Jego wygląd jest zróżnicowany w zależności od potrzeb – może być standardowy lub indywidualnie frezowany, aby idealnie dopasować się do kształtu dziąsła i zapewnić doskonałą estetykę przyszłego zęba. Kształt łącznika ma kluczowe znaczenie dla uzyskania naturalnej linii dziąsła wokół przyszłej korony.
Ostatnim elementem jest korona protetyczna, która jest widoczną częścią odbudowywanego zęba. Wygląd korony jest imitacją naturalnego zęba, wykonaną z ceramiki lub porcelany, w kolorze dopasowanym do pozostałych zębów pacjenta. Korona jest przykręcana lub cementowana na łączniku. Zatem, gdy pytamy „jak wyglądają implanty?”, mówimy tak naprawdę o całym systemie, którego finalny efekt estetyczny jest kluczowy dla pacjenta.
Gojenie implantu w kości i jego niewidoczny początkowy etap
Proces gojenia implantu stomatologicznego, czyli integracja implantu z kością, jest kluczowym etapem leczenia, który decyduje o jego długoterminowej stabilności i powodzeniu. W początkowej fazie, bezpośrednio po zabiegu wszczepienia, implant jest całkowicie niewidoczny w jamie ustnej. Jest on bowiem ukryty pod tkankami – albo pod błoną śluzową dziąsła, albo całkowicie zanurzony w kości szczęki lub żuchwy.
W zależności od zastosowanej techniki chirurgicznej, implant może zostać zakryty przez błonę śluzową. Wówczas na jego wierzchołku umieszcza się śrubę zamykającą. Taki sposób postępowania zapewnia optymalne warunki do regeneracji tkanki kostnej wokół implantu, minimalizując ryzyko infekcji i obciążenia mechanicznego. Dziąsło jest następnie zszywane, a pacjent nie widzi żadnego elementu implantu w jamie ustnej.
Alternatywnie, stosuje się metodę implantacji dwuetapowej, gdzie po wszczepieniu implantu, na jego wierzchołku umieszcza się śrubę zamykającą, a następnie implant jest całkowicie przykrywany przez błonę śluzową. Po kilku miesiącach, kiedy kość zintegrowała się z implantem, wykonuje się niewielkie nacięcie, aby odsłonić implant i przykręcić do niego śrubę gojącą lub łącznik. W tej fazie również implant nie jest jeszcze widoczny jako ząb.
Okres gojenia, czyli osteointegracji, trwa zazwyczaj od 3 do 6 miesięcy, a w niektórych przypadkach może być dłuższy. W tym czasie komórki kostne wrastają w mikropowierzchnię implantu, tworząc z nim integralną, mocną strukturę. Jest to proces biologiczny, który wymaga cierpliwości i ścisłego przestrzegania zaleceń lekarza. Wszelkie obciążenia mechaniczne w tym okresie mogą zaburzyć proces gojenia i doprowadzić do niepowodzenia zabiegu.
Dopiero po zakończeniu etapu osteointegracji można przejść do kolejnego etapu, czyli odsłonięcia implantu, zamocowania łącznika, a następnie wykonania i osadzenia korony protetycznej. Dopiero wtedy implant wraz z odbudową protetyczną staje się widoczny i pełni swoje funkcje estetyczne i żuciowe. Zatem, początkowy wygląd implantu po zabiegu to jego całkowite ukrycie pod tkankami, co jest niezbędne dla jego prawidłowego zintegrowania z organizmem.
Wygląd implantu po zagojeniu i przygotowanie do osadzenia korony
Po pomyślnym zakończeniu procesu osteointegracji, implant stomatologiczny staje się trwale zintegrowany z kością szczęki lub żuchwy. W tym momencie rozpoczyna się etap przygotowawczy do osadzenia widocznej części protetycznej, czyli korony. Wygląd implantu w tym stadium jest już specyficzny – jest to odsłonięty fragment, do którego zostanie przykręcony łącznik. Proces ten jest zazwyczaj prosty i szybki.
Gdy implant jest całkowicie zakryty tkanką dziąsłową, chirurg wykonuje niewielkie nacięcie, aby go odsłonić. Następnie, zamiast śruby zamykającej, przykręcana jest tzw. śruba gojąca. Jest to tymczasowy element, który kształtuje profil dziąsła wokół implantu, tworząc tzw. emergencję protetyczną. Jej wygląd jest kluczowy dla późniejszej estetyki korony, ponieważ determinuje, jak dziąsło będzie otaczać przyszły ząb.
Śruba gojąca pozostaje w implancie przez okres od kilku dni do kilku tygodni, w zależności od decyzji lekarza i stanu dziąsła. Pozwala to na uformowanie wału dziąsłowego w taki sposób, aby zapewnić naturalne i estetyczne przejście między koroną protetyczną a tkankami miękkimi. Wygląd tego fragmentu dziąsła jest bardzo ważny dla uzyskania efektu zbliżonego do naturalnego zęba.
Po zdjęciu śruby gojącej, do implantu przykręcany jest właściwy łącznik (abutment). Jak wspomniano wcześniej, łącznik może być wykonany z różnych materiałów i mieć różne kształty. Może być standardowy, prefabrykowany, lub indywidualnie frezowany przez technika dentystycznego na podstawie skanu 3D lub wycisku. Wygląd łącznika jest ściśle dopasowany do profilu implantu oraz do planowanej korony, zapewniając jej stabilność i prawidłowe osadzenie.
Warto podkreślić, że na tym etapie, czyli po przykręceniu łącznika, implant nadal nie jest widoczny jako gotowy ząb. Widoczny jest jedynie metalowy lub ceramiczny element wystający ponad linię dziąsła. Dopiero na tym łączniku zostanie osadzona korona protetyczna, która w pełni odtworzy wygląd i funkcję utraconego zęba. Zatem, wygląd implantu po zagojeniu to przygotowana platforma dla przyszłej odbudowy.
Jak wyglądają implanty stomatologiczne po osadzeniu docelowej korony
Kiedy mówimy o tym, jak wyglądają implanty stomatologiczne w ich końcowej, najbardziej pożądanej fazie, mamy na myśli przede wszystkim efekt po osadzeniu docelowej korony protetycznej. W tym momencie implant, który przez długi czas był ukryty w kości i dziąśle, staje się integralną częścią uśmiechu pacjenta, odtwarzając estetykę i funkcję naturalnego zęba.
Docelowa korona protetyczna jest zazwyczaj wykonana z materiałów ceramicznych, takich jak porcelana czy dwutlenek cyrkonu. Materiały te charakteryzują się wysoką estetyką, zbliżoną do naturalnego szkliwa zęba. Kolor korony jest starannie dobierany przez lekarza i technika dentystycznego, tak aby idealnie pasował do odcienia pozostałych zębów pacjenta. W procesie tym często wykorzystuje się specjalne kolorniki i analizę światła, aby osiągnąć jak najbardziej naturalny efekt.
Wygląd korony implantu jest zazwyczaj nieodróżnialny od naturalnego zęba. Jej kształt, rozmiar i proporcje są precyzyjnie odwzorowywane, aby harmonizować z całym łukiem zębowym. W przypadku zębów przednich, gdzie estetyka odgrywa kluczową rolę, artyści protetyki dentystycznej przykładają szczególną wagę do detali, takich jak przezierność, połysk czy subtelne nieregularności szkliwa, które nadają zębom naturalny wygląd.
Istotnym elementem estetycznym jest również sposób, w jaki korona integruje się z dziąsłem. Po prawidłowym uformowaniu profilu dziąsła za pomocą śruby gojącej i odpowiednio dopasowanym łączniku, korona powinna płynnie przechodzić w tkanki miękkie, bez widocznych szczelin czy ostrych krawędzi. Zdrowe, różowe dziąsło otaczające koronę implantu dopełnia efektu naturalności.
W przypadku implantów, które nie są widoczne podczas mówienia lub uśmiechu (np. zęby trzonowe), estetyka może być nieco mniej priorytetowa niż funkcjonalność. Jednakże, nawet w tych przypadkach, dąży się do uzyskania naturalnego wyglądu, który nie będzie odbiegał od sąsiednich zębów. Podsumowując, wygląd implantu po osadzeniu docelowej korony to obraz odtworzonego, w pełni funkcjonalnego i estetycznego zęba, który dzięki nowoczesnej stomatologii jest praktycznie nie do odróżnienia od naturalnego uzębienia.
Różnice w wyglądzie implantów w zależności od materiału i lokalizacji
Chociaż podstawowa zasada działania implantów stomatologicznych jest taka sama, ich wygląd może się nieznacznie różnić w zależności od użytych materiałów oraz lokalizacji w jamie ustnej. Zrozumienie tych subtelności pozwala lepiej odpowiedzieć na pytanie, jak wyglądają implanty w konkretnych przypadkach klinicznych. Najczęściej stosowanym materiałem do produkcji implantów jest tytan, który jest niezwykle biokompatybilny i wytrzymały. Implanty tytanowe mają charakterystyczny, metaliczny kolor.
Jednakże, tytan nie zawsze jest widoczny. Po wszczepieniu jest on ukryty w kości, a dopiero po zakończeniu gojenia i osadzeniu łącznika oraz korony, jego obecność jest maskowana. W przypadku pacjentów z cienkim profilem dziąsła lub gdy implant znajduje się w strefie estetycznej, czasami stosuje się implanty wykonane z tlenku cyrkonu. Implanty cyrkonowe są białe lub lekko kremowe, co może stanowić zaletę estetyczną, eliminując ryzyko prześwitywania metalicznego koloru przez cienkie dziąsło.
Wygląd łącznika również może wpływać na ogólny efekt estetyczny. Tradycyjne łączniki tytanowe, jeśli są widoczne, mogą dawać szarawy odcień, zwłaszcza przy cienkim dziąśle. Łączniki cyrkonowe, będąc białe, zapewniają bardziej naturalny wygląd i są często preferowane w przednim odcinku łuku zębowego.
Kolejnym czynnikiem wpływającym na wygląd jest lokalizacja implantu. W przypadku implantów w przednim odcinku łuku zębowego (tzw. strefa estetyczna), szczególną wagę przywiązuje się do precyzyjnego dopasowania koloru, kształtu i linii dziąsła. Korony na implantach w tej strefie są często wykonywane z pełnej ceramiki, aby uzyskać maksymalną naturalność. Wygląd implantu w tej okolicy musi być nienaganny.
W przypadku implantów w tylnym odcinku łuku zębowego, gdzie główną rolę odgrywa funkcja żucia, estetyka może być nieco mniej priorytetowa. Jednakże, nadal ważne jest, aby korona była dopasowana kolorem i kształtem do sąsiednich zębów. Czasami w tylnym odcinku stosuje się korony na podbudowie metalowej, pokrytej porcelaną, co może być nieco tańszym rozwiązaniem, ale może też prowadzić do subtelnych różnic w wyglądzie w porównaniu do pełnoceramicznych koron.
Podsumowując, wygląd implantu, rozumiany jako finalny efekt estetyczny, zależy od wielu czynników. Są to między innymi: materiał implantu i łącznika, technika wykonania korony protetycznej, kolorystyka oraz precyzja dopasowania do tkanki dziąsłowej i sąsiednich zębów. Współczesna stomatologia oferuje szeroki wachlarz możliwości, aby implanty wyglądały jak najbardziej naturalnie, niezależnie od lokalizacji i indywidualnych potrzeb pacjenta.
Wpływ stanu dziąseł i kości na estetyczny wygląd implantu
Estetyczny wygląd implantu stomatologicznego nie zależy wyłącznie od jakości samego implantu i korony protetycznej. Kluczową rolę odgrywają również tkanki otaczające, a w szczególności stan dziąseł i kości. Zdrowe, dobrze ukształtowane dziąsła są niezbędne do uzyskania naturalnego i harmonijnego efektu końcowego, który sprawi, że implant będzie wyglądał jak prawdziwy ząb.
Dziąsło pełni rolę ramki dla korony protetycznej. Jego wysokość, grubość i kolor mają ogromny wpływ na to, jak implant będzie prezentował się w jamie ustnej. W przypadku implantów w przednim odcinku łuku zębowego, tzw. strefie estetycznej, niezwykle ważne jest, aby dziąsło miało odpowiednią wysokość i objętość, tworząc naturalne podparcie dla korony. Brak odpowiedniej ilości tkanki dziąsłowej może prowadzić do odsłonięcia szyjki implantu lub łącznika, co jest nieestetyczne.
Stan kości, w której osadzony jest implant, jest równie istotny. Niewystarczająca ilość tkanki kostnej może prowadzić do recesji dziąsła, czyli jego obniżenia, w konsekwencji czego implant może stać się widoczny. W takich sytuacjach, przed wszczepieniem implantu, konieczne może być przeprowadzenie zabiegów regeneracji kości (augmentacji) lub plastyki dziąseł. Pozwala to na stworzenie odpowiedniego podparcia dla przyszłego uzupełnienia protetycznego.
Przewlekłe stany zapalne dziąseł, takie jak zapalenie przyzębia, mogą negatywnie wpływać na stabilność implantu i estetykę jego otoczenia. Infekcja może prowadzić do utraty kości wokół implantu, co z kolei może skutkować jego rozchwianiem i koniecznością usunięcia. Dlatego tak ważne jest utrzymanie dobrej higieny jamy ustnej i regularne wizyty kontrolne u stomatologa.
Współczesna chirurgia implantologiczna i protetyka często wykorzystują techniki, które mają na celu poprawę estetyki dziąseł wokół implantów. Mogą to być przeszczepy tkanki łącznej lub nabłonka, które zwiększają objętość i poprawiają profil dziąsła. W niektórych przypadkach, po zagojeniu implantu, może być konieczne wykonanie tzw. tymczasowej korony tymczasowej, która modeluje dziąsło przed wykonaniem ostatecznej odbudowy protetycznej.
Podsumowując, wygląd implantu jako estetycznego uzupełnienia jest ściśle związany z kondycją tkanek miękkich i kostnych. Zdrowe dziąsła i odpowiednia ilość kości są fundamentem dla sukcesu estetycznego leczenia implantologicznego. Dlatego też, przed podjęciem decyzji o wszczepieniu implantu, lekarz dokładnie ocenia stan jamy ustnej pacjenta i w razie potrzeby planuje odpowiednie zabiegi przygotowawcze.
Jak wybrać właściwy implant i ocenić jego przyszły wygląd
Wybór właściwego implantu stomatologicznego to proces złożony, który powinien być prowadzony wspólnie przez pacjenta i doświadczonego lekarza stomatologa. Choć pacjent nie jest ekspertem w dziedzinie implantologii, jego świadomość i zrozumienie procesu są kluczowe dla osiągnięcia satysfakcjonujących rezultatów, w tym estetycznego wyglądu przyszłego uzupełnienia. Pytanie „jak wyglądają implanty?” staje się wówczas punktem wyjścia do rozmowy o możliwościach.
Pierwszym krokiem jest szczegółowa diagnostyka, która obejmuje badanie kliniczne jamy ustnej, analizę zdjęć rentgenowskich (np. pantomograficznych lub tomografii komputerowej CBCT), a często także modele diagnostyczne uzębienia pacjenta. Pozwala to lekarzowi ocenić stan kości, dziąseł, zgryz oraz ogólny stan zdrowia jamy ustnej. Na podstawie tych danych można określić, jakie rodzaje implantów i jakich wymiarów będą najlepiej pasować.
Podczas konsultacji lekarz powinien szczegółowo omówić z pacjentem dostępne opcje leczenia, w tym rodzaje implantów, materiały, z których są wykonane, oraz potencjalne warianty protetyczne. Ważne jest, aby pacjent zrozumiał, że implant to tylko podstawa, a finalny wygląd i funkcjonalność zależą w dużej mierze od jakości wykonania korony protetycznej. Lekarz powinien przedstawić wizualizacje lub przykłady wcześniejszych prac, aby pacjent mógł lepiej wyobrazić sobie, jak będą wyglądać jego implanty.
Kryteria wyboru implantu obejmują nie tylko jego parametry techniczne, ale również doświadczenie lekarza w pracy z danym systemem implantologicznym oraz reputację producenta. Renomowane firmy implantologiczne oferują wysokiej jakości produkty, na które udzielają wieloletnich gwarancji. Pacjent powinien zapytać o markę implantów, które będą stosowane, oraz o możliwości ich ewentualnej wymiany lub modyfikacji w przyszłości.
Ocena przyszłego wyglądu implantu opiera się na prognozach lekarza, opartych na jego wiedzy i doświadczeniu, a także na analizie warunków anatomicznych pacjenta. Ważne jest, aby pacjent miał realistyczne oczekiwania. Lekarz powinien wyjaśnić, jakie czynniki mogą wpłynąć na estetykę, takie jak np. cienkie dziąsło, cofanie się dziąseł w wyniku procesów starzenia się lub chorób przyzębia. Czasami, aby uzyskać optymalny wygląd, konieczne mogą być dodatkowe zabiegi chirurgiczne, np. plastyka dziąseł.
Podsumowując, wybór właściwego implantu i ocena jego przyszłego wyglądu to proces, który wymaga ścisłej współpracy pacjenta z lekarzem. Kluczem do sukcesu jest dokładna diagnostyka, otwarta komunikacja, realistyczne oczekiwania oraz wybór doświadczonego specjalisty i renomowanego systemu implantologicznego. W ten sposób można zapewnić, że implanty będą nie tylko funkcjonalne, ale również estetycznie dopasowane do indywidualnych potrzeb pacjenta.
„`


