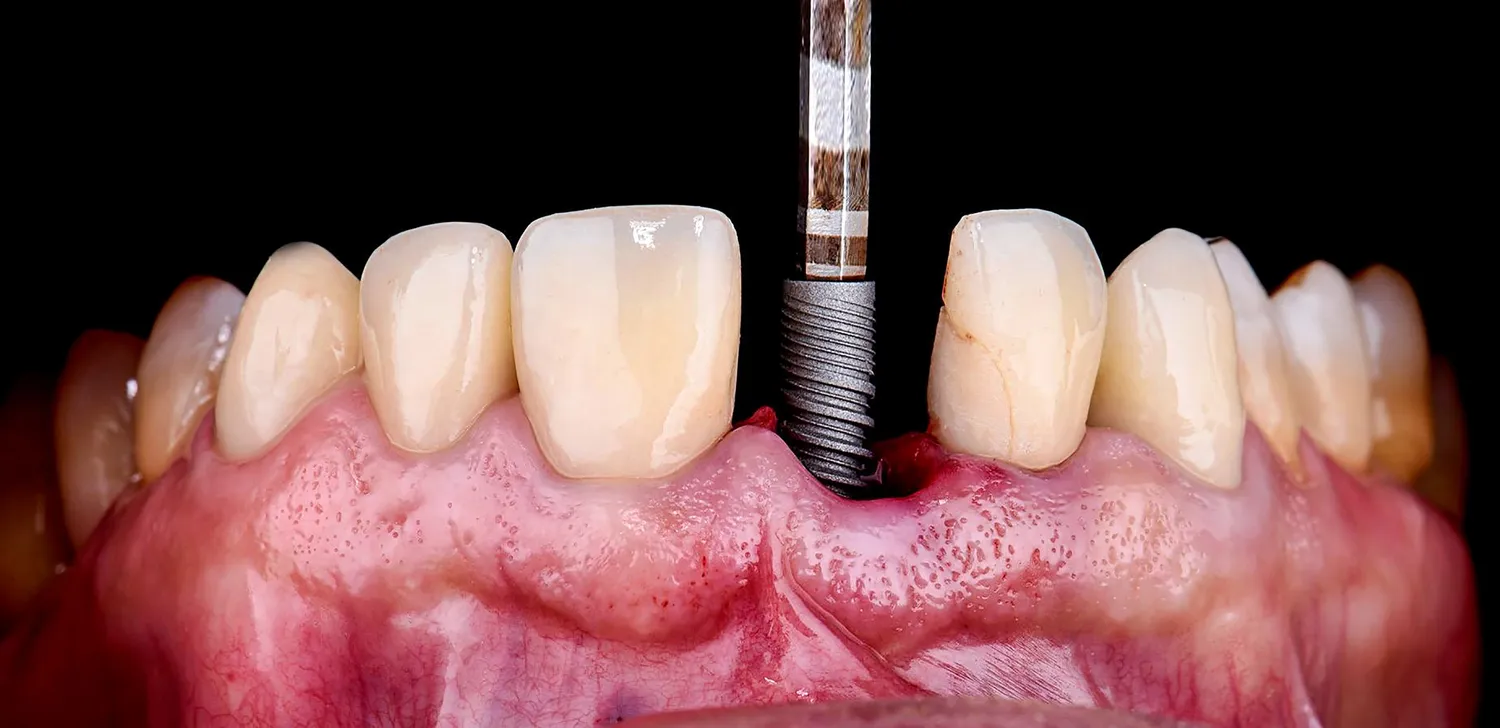
Implanty zębów to nowoczesne rozwiązanie stomatologiczne, które ma na celu zastąpienie brakujących zębów. W ich skład wchodzi tytanowy wszczep, który jest umieszczany w kości szczęki lub żuchwy, co pozwala na stabilne osadzenie korony protetycznej. Proces ten zaczyna się od dokładnej diagnostyki, która obejmuje zdjęcia rentgenowskie oraz ocenę stanu zdrowia pacjenta. Po zakwalifikowaniu do zabiegu następuje chirurgiczne wszczepienie implantu, które zazwyczaj odbywa się w znieczuleniu miejscowym. Po pewnym czasie, gdy implant zrośnie się z kością, można przystąpić do wykonania korony, która jest mocowana na wcześniej umieszczonym implancie. Dzięki temu pacjent odzyskuje nie tylko estetykę uśmiechu, ale także funkcjonalność zgryzu.
Jakie są zalety stosowania implantów zębów?
Stosowanie implantów zębów niesie ze sobą wiele korzyści, które przyciągają pacjentów do tego typu leczenia. Przede wszystkim implanty pozwalają na przywrócenie pełnej funkcji żucia, co jest niezwykle istotne dla komfortu codziennego życia. W przeciwieństwie do tradycyjnych protez, które mogą przesuwać się w jamie ustnej i powodować dyskomfort, implanty są stabilne i nie wymagają użycia klejów czy innych środków mocujących. Dodatkowo, implanty pomagają w zachowaniu struktury kości szczęki, co jest kluczowe dla utrzymania prawidłowego kształtu twarzy. Kolejną zaletą jest estetyka – implanty wyglądają jak naturalne zęby i są dostosowane kolorystycznie do pozostałych zębów pacjenta. Dzięki temu pacjenci mogą cieszyć się pięknym uśmiechem bez obaw o to, jak będą postrzegani przez innych.
Jak przebiega proces zakupu i wszczepienia implantów zębów?

Proces zakupu i wszczepienia implantów zębów składa się z kilku kluczowych etapów, które zapewniają skuteczność leczenia oraz satysfakcję pacjenta. Pierwszym krokiem jest konsultacja ze stomatologiem, który oceni stan zdrowia jamy ustnej oraz przeprowadzi szczegółowe badania diagnostyczne. Na podstawie uzyskanych informacji lekarz podejmie decyzję o możliwości przeprowadzenia zabiegu oraz zaproponuje odpowiedni plan leczenia. Następnie pacjent zostaje poinformowany o kosztach związanych z zabiegiem oraz czasie potrzebnym na jego realizację. Po zaakceptowaniu planu leczenia następuje etap chirurgiczny, podczas którego implant zostaje umieszczony w kości. Po tym etapie konieczne jest odczekanie kilku miesięcy na proces osteointegracji, czyli zrastania się implantu z kością. Gdy ten proces zakończy się pomyślnie, można przystąpić do wykonania korony protetycznej.
Czy każdy może zdecydować się na implanty zębów?
Decyzja o zastosowaniu implantów zębów nie jest dla każdego pacjenta oczywista i wymaga indywidualnej oceny przez specjalistę. Istnieją pewne przeciwwskazania zdrowotne, które mogą wykluczać możliwość przeprowadzenia zabiegu. Osoby cierpiące na choroby przyzębia, cukrzycę czy problemy z krzepliwością krwi powinny być szczególnie ostrożne i skonsultować się ze stomatologiem przed podjęciem decyzji o implantacji. Ważnym czynnikiem jest także stan kości – jeśli kość szczęki jest zbyt słaba lub niewystarczająca do osadzenia implantu, może być konieczne przeprowadzenie dodatkowych zabiegów regeneracyjnych przed właściwą implantacją. Ponadto wiek pacjenta również ma znaczenie; młodsze osoby powinny poczekać na zakończenie wzrostu kości twarzoczaszki przed podjęciem decyzji o wszczepieniu implantu.
Jakie są koszty związane z implantami zębów?
Koszty związane z implantami zębów mogą się znacznie różnić w zależności od wielu czynników, takich jak lokalizacja gabinetu stomatologicznego, doświadczenie lekarza oraz rodzaj użytych materiałów. W Polsce ceny za jeden implant mogą wynosić od kilku do kilkunastu tysięcy złotych, co obejmuje zarówno sam wszczep, jak i późniejsze wykonanie korony protetycznej. Warto jednak pamiętać, że cena nie zawsze jest wyznacznikiem jakości; ważne jest, aby wybierać sprawdzonych specjalistów oraz renomowane kliniki. Dodatkowo, pacjenci powinni być świadomi, że koszt implantacji to nie tylko cena samego implantu, ale także dodatkowe wydatki związane z diagnostyką, ewentualnymi zabiegami przygotowawczymi oraz wizytami kontrolnymi po zabiegu. W przypadku osób z ograniczonym budżetem istnieją różne opcje finansowania leczenia, takie jak kredyty medyczne czy płatności ratalne.
Jak dbać o implanty zębów po ich wszczepieniu?
Prawidłowa pielęgnacja implantów zębów jest kluczowa dla ich długowieczności oraz zdrowia jamy ustnej. Po zabiegu pacjent powinien stosować się do zaleceń lekarza dotyczących higieny oraz diety. Zaleca się unikanie twardych pokarmów przez kilka pierwszych tygodni po wszczepieniu implantu, aby dać czas na odpowiednią regenerację tkanek. Codzienna higiena jamy ustnej powinna obejmować szczotkowanie zębów co najmniej dwa razy dziennie oraz stosowanie nici dentystycznych lub irygatorów do usuwania resztek pokarmowych z okolic implantu. Regularne wizyty kontrolne u stomatologa są równie istotne; pozwalają one na monitorowanie stanu zdrowia implantu oraz otaczających go tkanek. W przypadku wystąpienia jakichkolwiek niepokojących objawów, takich jak ból czy obrzęk, należy niezwłocznie skontaktować się z lekarzem.
Jakie są alternatywy dla implantów zębów?
Choć implanty zębów są jednym z najskuteczniejszych rozwiązań w przypadku brakujących zębów, istnieją również inne opcje leczenia, które mogą być odpowiednie dla różnych pacjentów. Jedną z najpopularniejszych alternatyw są protezy ruchome, które można łatwo zdjąć i założyć. Protezy te są tańsze niż implanty, ale mogą być mniej komfortowe i stabilne w porównaniu do stałych rozwiązań. Inną opcją są mosty protetyczne, które wymagają szlifowania zdrowych zębów znajdujących się obok luki w uzębieniu. Mosty mogą być dobrym rozwiązaniem w przypadku braku jednego lub dwóch zębów, ale ich trwałość jest zazwyczaj krótsza niż w przypadku implantów. Warto również wspomnieć o nowoczesnych technologiach, takich jak mini-implanty czy systemy ortodontyczne, które mogą pomóc w korekcji wad zgryzu i poprawie estetyki uśmiechu.
Jakie są najnowsze osiągnięcia w dziedzinie implantologii?
Implantologia to dziedzina stomatologii, która dynamicznie się rozwija i wprowadza coraz to nowsze technologie oraz materiały. Jednym z najnowszych osiągnięć jest zastosowanie cyfrowego planowania zabiegów implantologicznych, które pozwala na precyzyjne zaplanowanie umiejscowienia implantu jeszcze przed zabiegiem. Dzięki technologii skanowania 3D lekarze mogą dokładnie ocenić warunki anatomiczne pacjenta i dostosować plan leczenia do jego indywidualnych potrzeb. Kolejnym innowacyjnym rozwiązaniem są implanty wykonane z nowych biokompatybilnych materiałów, które przyspieszają proces gojenia i integracji implantu z kością. Ponadto rozwijają się techniki regeneracyjne, takie jak przeszczepy kości czy zastosowanie komórek macierzystych do odbudowy tkanek kostnych. Te nowoczesne podejścia zwiększają skuteczność leczenia oraz poprawiają komfort pacjentów podczas całego procesu rehabilitacji stomatologicznej.
Jakie pytania warto zadać stomatologowi przed zabiegiem?
Przed podjęciem decyzji o wszczepieniu implantów zębów warto przygotować listę pytań do stomatologa, aby uzyskać pełną informację na temat planowanego zabiegu oraz jego konsekwencji. Ważne jest zapytanie o doświadczenie lekarza w zakresie implantologii oraz liczbę przeprowadzonych zabiegów tego typu. Należy również dowiedzieć się o dostępnych metodach diagnostycznych i planowania leczenia oraz jakie badania będą konieczne przed zabiegiem. Kolejnym istotnym pytaniem jest czas trwania całego procesu – od wszczepienia implantu do momentu zakończenia rehabilitacji protetycznej. Pacjenci powinni także zapytać o możliwe ryzyka i powikłania związane z zabiegiem oraz jakie środki ostrożności należy podjąć po operacji. Nie bez znaczenia są również kwestie finansowe; warto dowiedzieć się o całkowitych kosztach leczenia oraz dostępnych opcjach płatności lub finansowania.
Jak wygląda życie po wszczepieniu implantów?
Życie po wszczepieniu implantów zębów może być znacznie lepsze niż przed zabiegiem dzięki poprawie funkcji żucia oraz estetyki uśmiechu. Większość pacjentów zgłasza znaczną poprawę komfortu życia i pewności siebie po zakończeniu procesu rehabilitacji protetycznej. Po pewnym czasie adaptacji do nowych warunków pacjenci mogą wrócić do normalnego trybu życia bez obaw o dyskomfort związany z tradycyjnymi protezami czy mostami protetycznymi. Ważne jest jednak przestrzeganie zasad higieny jamy ustnej i regularne wizyty kontrolne u stomatologa, aby monitorować stan zdrowia implantu oraz otaczających go tkanek. Pacjenci powinni być świadomi, że chociaż implanty są trwałym rozwiązaniem, to ich sukces zależy od odpowiedniej pielęgnacji i dbałości o zdrowie jamy ustnej.
Jakie są opinie pacjentów na temat implantów zębów?
Opinie pacjentów na temat implantów zębów są zazwyczaj bardzo pozytywne, co potwierdza ich rosnącą popularność wśród osób borykających się z problemem brakujących zębów. Wiele osób podkreśla, że po wszczepieniu implantu odzyskali nie tylko estetykę uśmiechu, ale także komfort podczas jedzenia i mówienia. Pacjenci często zwracają uwagę na to, że implanty są znacznie bardziej stabilne i wygodne w porównaniu do tradycyjnych protez, które mogą powodować dyskomfort. Wiele osób ceni sobie również długoterminowe efekty leczenia, które pozwalają im cieszyć się pełnią życia bez obaw o stan uzębienia. Oczywiście, jak w każdej dziedzinie medycyny, zdarzają się również negatywne doświadczenia, jednak są one zazwyczaj związane z brakiem odpowiedniej higieny czy niewłaściwym postępowaniem po zabiegu.





